Viele Menschen stehen irgendwann vor der Frage, ob Veneers oder eine Zahnkrone besser zu ihrer Zahnsituation passt. Beide Optionen können das Erscheinungsbild erheblich verbessern, erfüllen jedoch unterschiedliche Aufgaben. Welche Versorgung sinnvoll ist, lässt sich nicht allein am äußeren Eindruck festmachen. Viel wichtiger ist der Zustand der Zahnsubstanz und wie stabil der Zahn langfristig bleibt.
Spezialisierte Zentren berücksichtigen diese Faktoren in einer umfassenden Diagnostik, bevor sie eine Empfehlung aussprechen.
Warum spezialisierte Zahnärzte bei Veneers und Kronen entscheidend sind
Die Wahl zwischen Veneers und einer Zahnkrone hängt stark davon ab, wie präzise der Zustand des jeweiligen Zahns beurteilt wird. Dafür ist die Expertise spezialisierter Zahnärzte und Zahnärztinnen zentral. Fachkräfte mit Schwerpunkt in ästhetischer und restaurativer Zahnmedizin verfügen über Erfahrung in der Bewertung von Zahnsubstanz, Bissverhältnissen und Materialeigenschaften.
Sie nutzen digitale Diagnostik, Funktionsanalysen und keramische Planungstools, um festzustellen, welche Versorgung langfristig stabil bleibt und welche Risiken bestehen. Besonders bei Grenzfällen – etwa wenn ein Zahn leicht geschädigt ist, aber noch nicht vollständig überkront werden muss – ermöglicht eine spezialisierte Einschätzung eine individuell passende Lösung.
Auch die präzise Umsetzung spielt eine große Rolle: Sowohl die minimalinvasive Präparation für Veneers als auch die vollständige Rekonstruktion für Kronen erfordern ein hohes Maß an technischer Genauigkeit. Spezialisierte Anbieter, darunter moderne Zahnkliniken in der Türkei, verfügen über eine ausgeprägte Expertise in Diagnostik und prothetischer Planung und können komplexe Entscheidungen zwischen Veneer und Krone fundiert treffen.
Für Patienten und Patientinnen bedeutet dies vor allem eines: bessere Vorhersagbarkeit, höhere ästhetische Qualität und langfristige Stabilität der Versorgung.
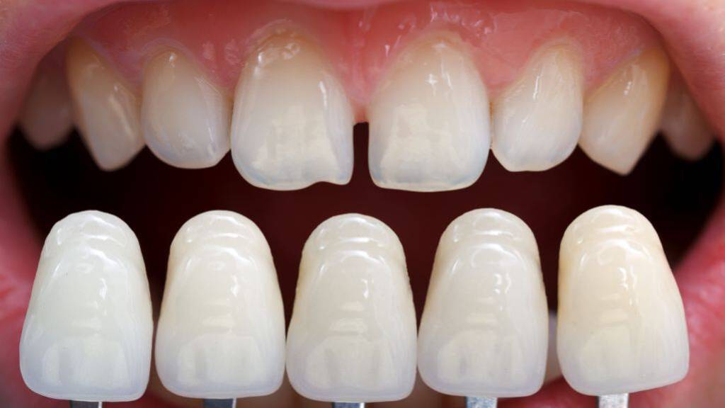
Veneers: Ästhetische Korrekturen bei guter Zahnsubstanz
Veneers sind dünne keramische Verblendschalen, die auf der Vorderseite eines Zahns befestigt werden. Sie kommen zum Einsatz, wenn ein Zahn zwar gesund, aber optisch beeinträchtigt ist. Typische Gründe sind dauerhafte Verfärbungen, kleinere Absplitterungen, leichte Fehlstellungen oder der Wunsch nach einer harmonischeren Zahnreihe.
Ein häufiges Beispiel aus dem Praxisalltag: Ein Frontzahn hat eine kleine Schmelzfraktur, ist aber strukturell stabil. Ein Veneer kann hier das Erscheinungsbild verbessern, ohne dass viel Zahnsubstanz geopfert werden muss. Wichtig ist allerdings, dass ein Veneer nur sicher haftet, wenn ausreichend gesunder Schmelz vorhanden ist. Bei starkem Substanzverlust oder größeren Defekten stößt diese Methode an ihre Grenzen.
Veneers eignen sich besonders, wenn
der Zahn stabil und weitgehend unbeschädigt ist,
die Korrektur überwiegend ästhetischer Natur ist,
ein minimalinvasiver Eingriff gewünscht wird.
Zahnkronen: Funktionelle Wiederherstellung bei geschwächten Zähnen
Eine Zahnkrone erfüllt eine andere Aufgabe: Sie stabilisiert einen Zahn, der strukturell geschwächt ist oder größere Defekte aufweist. Das kann nach einer Wurzelbehandlung der Fall sein, bei tiefer Karies, starken Abriebspuren durch Knirschen oder wenn ein Teil des Zahns abgebrochen ist.
Im Gegensatz zu Veneers wird der Zahn für eine Krone rundum beschliffen und vollständig überkront. Dadurch erhält er neue Stabilität und kann wieder vollständig belastet werden. Welche Materialvariante – zum Beispiel Vollkeramik oder Zirkon – sinnvoll ist, hängt vom individuellen Befund ab.
Kronen sind angezeigt, wenn
ein Zahn größere strukturelle Schäden hat,
die Stabilität ohne Überkronung gefährdet wäre,
funktionelle Einschränkungen bestehen, die über reine Ästhetik hinausgehen.
Wo liegen die Unterschiede – und gibt es Grenzfälle?
Ob Veneers oder Krone – die Entscheidung ist nicht immer eindeutig. In der Praxis gibt es viele Situationen, in denen beide Optionen theoretisch möglich wären. Dann spielen mehrere Faktoren eine Rolle:
Wie viel gesunde Zahnsubstanz ist noch vorhanden?
Wie hoch ist die Belastung des betroffenen Zahns?
Handelt es sich um rein ästhetische Wünsche oder um einen funktionellen Defekt?
Ein wichtiger Punkt: Veneers sind ideal für feine, oberflächliche Optimierungen. Sobald jedoch die Stabilität eines Zahns infrage steht, bietet eine Krone den nachhaltigeren Schutz. Zahnärzte und Zahnärztinnen wägen daher ab, welche Lösung langfristig sinnvoller ist. Dabei geht es nicht nur darum, den Zahn ästhetisch zu verbessern, sondern vor allem darum, seine Funktion zu erhalten.
Haltbarkeit und Pflege: Was Patienten wissen sollten

Sowohl Veneers als auch Kronen können viele Jahre halten, wenn sie fachgerecht eingesetzt und regelmäßig kontrolliert werden. Moderne Keramikmaterialien sind sehr widerstandsfähig, verfärben kaum und ähneln in ihrer Optik natürlichen Zähnen. Bei Veneers liegt die durchschnittliche Haltbarkeit bei etwa 10 bis 15 Jahren, Kronen erreichen je nach Material und Belastung häufig noch längere Zeiträume. Wie lange der Zahnersatz tatsächlich hält, hängt jedoch stark vom individuellen Verhalten ab – etwa vom Umgang mit harten Lebensmitteln oder von nächtlichem Knirschen.
Typische Faktoren, die die Lebensdauer beeinflussen, sind unter anderem:
Bruxismus (Zähneknirschen), besonders ohne passende Schiene
Ernährung, beispielsweise häufige Säureexposition
die Qualität der täglichen Mundhygiene
die Stabilität des darunterliegenden Zahns
Ein häufig unterschätzter Punkt: Auch kleine Veränderungen im Bissverhalten können dazu führen, dass ein Veneer oder eine Krone stärker belastet wird als ursprünglich geplant. Deshalb empfehlen Zahnärzte und Zahnärztinnen regelmäßige Funktionskontrollen, um frühzeitig gegenzusteuern.
Regelmäßige professionelle Zahnreinigungen und Kontrolluntersuchungen unterstützen zusätzlich dabei, sowohl Veneers als auch Kronen langfristig stabil zu halten.
Fazit: Die richtige Versorgung ist immer eine individuelle Entscheidung
Ob Veneers oder Zahnkrone – beide Versorgungen haben ihren festen Platz in der modernen Zahnmedizin, verfolgen jedoch unterschiedliche Ziele. Veneers bieten sich an, wenn die Zahnsubstanz stabil ist und vor allem ästhetische Wünsche im Vordergrund stehen. Kronen wiederum sind die bessere Wahl, wenn ein Zahn strukturell geschwächt ist und funktionell geschützt werden muss.
Entscheidend ist daher weniger der optische Eindruck, sondern die genaue Analyse des vorhandenen Zahnmaterials, der Bissverhältnisse und der langfristigen Belastung. Erst diese Gesamtbewertung zeigt, welche Lösung wirklich sinnvoll und nachhaltig ist.
Eine ausführliche Diagnostik durch spezialisierte Fachleute hilft dabei, die individuellen Voraussetzungen präzise einzuschätzen und eine Versorgung zu wählen, die sowohl ästhetisch als auch funktionell überzeugt. So entsteht ein Ergebnis, das nicht nur gut aussieht, sondern auch langfristig stabil bleibt.
FAQ
Wann sind Veneers die bessere Wahl?
Veneers eignen sich besonders dann, wenn der Zahn stabil und weitgehend gesund ist, aber ästhetisch verbessert werden soll – etwa bei Verfärbungen, kleineren Absplitterungen oder leichten Fehlstellungen. Voraussetzung ist immer ausreichend gesunder Zahnschmelz, damit das Veneer zuverlässig haften kann.
Wann ist eine Zahnkrone notwendig?
Eine Krone wird dann empfohlen, wenn ein Zahn strukturell geschwächt ist – etwa durch Karies, Frakturen, Abnutzung oder nach einer Wurzelbehandlung. Sie stellt die volle Funktion wieder her und schützt den Zahn langfristig vor weiteren Schäden.
Wie entscheidet der Zahnarzt zwischen Veneer und Krone?
Die Entscheidung basiert auf einer gründlichen Analyse der Zahnsubstanz, der Bissverhältnisse und der Belastung. Spezialisierte Zahnärzte und Zahnärztinnen prüfen, ob der Zahn ausreichend stabil ist oder ob eine vollständige Rekonstruktion erforderlich ist.
Sind Veneers haltbar?
Ja, moderne Keramikveneers können 10–15 Jahre oder länger halten. Ihre Lebensdauer hängt jedoch vom individuellen Verhalten ab, zum Beispiel von Mundhygiene, Ernährung, Knirschen und regelmäßigen Kontrollen.
Wie lange hält eine Zahnkrone?
Hochwertige Zahnkronen halten häufig länger als Veneers. Je nach Material und Belastung können sie viele Jahre stabil bleiben. Eine gute Nachsorge und Funktionskontrolle verlängern die Haltbarkeit.
Kann man von Veneers auf eine Krone wechseln?
Ja, wenn der Zahn später an Stabilität verliert oder weitere Schäden auftreten, kann aus einem mit Veneer versorgten Zahn eine Krone werden. Der umgekehrte Weg ist jedoch nicht möglich, da eine überkronte Zahnstruktur nicht mehr für Veneers geeignet ist.
Ist die Behandlung schmerzhaft?
In der Regel nicht. Sowohl Veneers als auch Kronen werden unter lokaler Betäubung vorbereitet. Nach dem Eingriff können kurzzeitig leichte Sensibilitäten auftreten, die aber meist schnell abklingen.
Wie beeinflusst Zähneknirschen die Wahl der Versorgung?
Bruxismus kann Veneers und Kronen stark belasten. In solchen Fällen ist oft eine stabilere Krone sinnvoll oder eine Knirscherschiene notwendig, um Schäden am Zahnersatz zu vermeiden.
Ist eine digitale Diagnostik wichtig?
Ja. Methoden wie 3D-Analyse, digitale Abdrucknahme und Funktionsdiagnostik erleichtern die Entscheidung, ob Veneer oder Krone die bessere Option ist. Sie erhöhen zudem die Vorhersagbarkeit des Ergebnisses.
Welche Rolle spielen spezialisierte Zahnkliniken?
Spezialisierte Einrichtungen, darunter auch moderne Zahnkliniken in der Türkei, verfügen über gezielte Erfahrung in ästhetischer und restaurativer Zahnmedizin. Sie können komplexe Fälle analysieren und auf dieser Basis fundiert entscheiden, welche Versorgung langfristig sinnvoll ist.
Weitere Informationen
Zahn-Veneers: Wann sind sie sinnvoll?: https://www.zahnaerzte-wl.de/pages/zahn-veneers-wann-sind-sie-sinnvoll
Veneers: Das Furnier für Ihre Zähne: https://www.tk.de/techniker/gesundheit-foerdern/praevention-impfungen/zaehne/alles-zum-thema-veneers-das-furnier-fuer-ihre-zaehne-2167694
Kronen: https://www.zahnpatienten.info/behandlung/zahnersatz/kronen
Zahnkronen: Die unterschiedlichen Kronenarten: https://www.tk.de/techniker/krankheit-und-behandlungen/erkrankungen/behandlungen-und-medizin/zaehne-und-kieferorthopaedie/zahnkronen-die-unterschiedlichen-kronenarten-2021636
